予防歯科(歯周病治療)
予防歯科
永久歯は皮膚のケガのように自然治癒や再生はなかなかしません、もう新たに生えてもきません。再生能力が極めて少なく大切な歯は動物の寿命と密接にかかわります。野生のライオン、トラ、ヒョウ、そのほか草食動物は歯が数本失われただけで咀嚼ができなくなり急速に衰弱、死を迎えます。原始時代の人間もマンモスの肉や硬い木の実を食べていたわけですので同じです。よって歯の寿命と動物の寿命は同じだったのです。その後人間だけが食べ物を柔らかく加工したり、入れ歯も入れたりの知恵がでてきたので長生きできるようになったのです。むし歯や歯肉炎、歯周病にならないように自分の歯をしっかり予防していくことが全身の健康のためにも大切です。
呼吸器、消化器の入り口であり、発音機能も兼ねている口腔内はとても大切な器官です。このお口の中が汚れているとバイ菌(口腔内細菌)がたくさん増殖します。口臭やむし歯、歯周病の原因だけでなくそのまま100%飲んでしまいますので風邪、気管支炎、肺炎の原因に(高齢者の死因のトップは肺炎です)、また胃炎や腸炎の原因にもなります。近年は胃潰瘍、胃がんの原因といわれるピロリ菌の除菌療法の失敗が口腔ケアの不良であることも指摘されています。
そのほか糖尿病の悪化に関係、妊娠中のトラブル(流産、早産、低体重児)に関与、脳梗塞、心筋梗塞、高血圧症にも関連していることがわかってきました。手足や指が腐って切断をしなければならなくなるバージャー病という病気は糖尿病、喫煙と合わせて原因菌が歯周病菌であることが近年立証されました。
全身はすべてつながっています。どんな器官も大切です。体にとって一番大きな穴である口はバイ菌が入ってこないように防御する最前線となります。しかし感染症になることを防ぐ場所なのにバイ菌いっぱいで感染元になってしまっては健康になるはずがありません。
予防歯科、クリーニング、定期的なメンテナンスは歯を守る、治療したところを守るだけでなく、口腔内をキレイにして免疫力の回復をはかり他の病気の予防、全身の健康の維持のために絶対に必要になります。
当院は治療が終わった患者さんをはじめ、むし歯や歯周病がない方でもそのままキレイに健康を保っていけるようにしっかり指導します、自分で清掃しきれない場所は国家資格の専門職・歯科衛生士によるプロフェッショナル・クリーニングを行います。通常は4か月おきに、患者さんの状態によっては毎月や2か月おきなど対応します。ただしどんなに状態がよくても半年が限界ですのでしっかりご通院していただきたいと思います。
症例
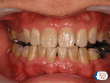
症例1
30代男性。口臭が極めてひどく、歯肉から出血、汚れや茶渋、歯石がたくさん付着していました。歯科衛生士による口腔ケア指導,超音波による歯石除去、クリーニングを数回にわたって徹底的に行ったところ,炎症を起こしてすぐ出血していた歯肉はピンク色に変わり、歯の表面もキレイでツルツルに、口臭もなくなりました。普段の口腔ケアも上手になり、現在も定期的にメンテナンスに通院されています。以前はよくカゼをひいていましたが今はほとんどなくなり健康になりました。口腔ケアの大切さがわかる症例です。
| 術前 | 術中 | 術後 |
|---|---|---|
![]() |
![]() |
![]() |
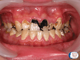
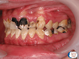
症例2
20代男性。コーラやジュースを毎日大量に飲んでいました。成分に多量に含まれている糖分はバイ菌の栄養になって口腔内で増殖します。また酸性度が高いので本来は水晶に匹敵するくらい丈夫な歯の表面のエナメル質が溶け続けます。悪い状況を続けた結果、ほとんど全ての永久歯がむし歯になってしまいました。まさしく生活習慣病の一つです。このままでは糖尿病やほかの病気も発症してしまい著しく健康を損なうことになります。
欠落していた食生活(食事内容、食事の間隔)の指導、口腔ケアを行っていくことになります。もちろんこの後むし歯の治療をしていきますがたくさんあるので大変です。予防はこうならないために必要なのです。治療にならないようにケアした方がお金や時間がなくならないのでとってもお得です。
当院は幼児から高齢者まで、治療の終わった人やこれからの人も口腔ケアをしっかり丁寧に行います。キレイでさっぱりした状態になりますのでお気軽にご相談ください。
![]() |
![]() |
![]() |





