口腔外科
当院での口腔外科治療について
当院では通常の抜歯はもちろん、以下の治療も可能です。
1. 歯の移植手術
むし歯でボロボロの歯を抜いた後、親知らずなどを移植する手術です。
自分の体のパーツで余っている部分から足りない部分に移し補うことは最高の再生医療と言えます。
当院では積極的に行っています。
2. 歯の根の先にたまった大きな膿(うみ)のかたまりの摘出手術
3. 歯周病で溶けてしまった骨の再生手術
など、必要と思われる患者さんに詳しい検査や説明をしっかりしたあと、同意をいただいてから行っています。
4. 親知らずの難しい手術
提携先の新八千代病院口腔外科(八千代市米本・勝田台駅から送迎バスもあり、国道16号線沿いでお車ならすぐの場所です。東京歯科大学口腔外科のDrが診療、予約ができます。)へご紹介します。
5. 口腔がんや難治性口腔粘膜疾患、あごの骨の骨折などが疑われた場合
- 東京歯科大学千葉病院(千葉市稲毛)
- 東京歯科大学市川総合病院(市川市菅野)
- 東京女子医科大学八千代医療センター歯科口腔外科(八千代市八千代中央)
- 千葉大学医学部附属病院歯科・顎・口腔外科(千葉市亥鼻)
- 東京医科歯科大学歯学部附属病院(御茶ノ水)
- 日本大学歯学部附属病院(御茶ノ水)
- 東京歯科大学水道橋病院(水道橋)
- 日本歯科大学附属病院(飯田橋)
- 東京大学医学部附属病院顎口腔外科(本郷)
- 昭和大学歯科病院(洗足)
など、患者さんが通院しやすくかつ適切な施設にご紹介いたします。
症例
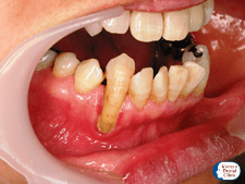
症例1 (歯周病で溶けてしまった骨の再生手術)
不適切な歯みがき、歯周病、咬み合わせの不良が原因で下の前歯1本が根の先まで露出していました。
このままでは抜歯しかありません。何とかこの歯を生かす方法を検討した結果、一度抜歯した後骨の残っている方向にインプラントドリルで骨を削合、抜歯した歯(消毒し組織再生処置を施して)を再移植することにしました。
| 術前(正面) | 術前(横) |
|---|---|
![]() |
![]() |
| 術後(正面) | 術後(横) |
![]() |
![]() |
| 素敵な笑顔 | |
![]() |
経過は良好で、キレイな歯をかぶせ、 再び噛めるようになりました。 |




