補綴歯科
補綴歯科
補綴(ほてつ)歯科は、むし歯などで大きく壊れている歯を丈夫でキレイな状態に回復させたり、歯が無いところを周りの歯を使って補ったりと、歯科治療でゴールにあたる分野です。長期にわたって治療した歯が長持ちするためには高度な知識、能力、技術、経験が必要です。
院長はこの補綴歯科を専門に治療、研究、学生の教育を行う歯科補綴学教室に12年間在籍し、その間医局員として初めて日本補綴歯科学会(http://www.hotetsu.com/)・認定医(後に専門医)の公開認定審査に合格しました。現在も昭和大学歯学部歯科補綴学教室・兼任講師を務めています。
当院は審美歯科と補綴歯科の融合、美しさと機能の両立を念頭に常に最良最善の治療法を患者さんに提供してくため努力しています。
症例
症例1
20代女性。以前治療した前歯(かぶせ歯)の長さが違うことや、むし歯や治療の後の変色が気になって来院です。先に歯肉の修正をなって歯の長さを揃え、金属を一切使用しないオールセラミッククラウン(In-Ceram)にて前歯4本の治療を行いました。キレイなスマイルになりました
| 不ぞろいの差し歯 | スマイルラインが 美しくありません |
|---|---|
![]() |
![]() |
| オールセラミッククラウンで前歯4本を制作 | |
![]() |
![]() |
| 術後 | キレイな スマイルライン |
![]() |
![]() |
症例2
30代男性。健康保険で入れた歯が黄色く変色してきました。こちらも変色しないオールセラミッククラウン(Angel Crown)に変えてキレイになりました。
| 保険の歯が変色 | 咬合面 |
|---|---|
![]() |
![]() |
| オールセラミッククラウン | |
![]() |
![]() |
| 術後 | 咬合面 |
![]() |
![]() |
症例3
60代男性。プラスチックの詰め物(コンポジットレジン)がはがれ、むし歯も大きくなって変色してきました。左上2番目のキレイなセラミックの歯はそのままに、周りの3本を新たにセラミックのかぶせ歯に、ほかはプラスチックを詰め直ししました。キレイになって満足していました。
| 不適で変色してしまった歯 | 術後 |
|---|---|
![]() |
![]() |
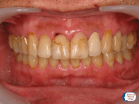
症例4
30代女性。以前治した前歯に再びむし歯ができて変色と歯並びの修正を求めて来院されました。早期治療がご希望のため(治療期間がかかる矯正処置は希望されなかったため)上の前歯5本、下の金属色とむし歯が目立つ歯2本をセラミックのかぶせ歯に、周囲の歯をプラスチックの詰め物で補修しました。キレイになっただけでなく清掃もしやすくなりました。
| 歯並びが乱れ、 変色してしまった歯 |
術後 |
|---|---|
![]() |
![]() |















